Интервью
фотогалерея
Губерния
Галина Михайлова: «Технологии искусственного интеллекта – эффективный инструмент для повышения уровня диагностики в медицине»Галина Михайлова: «Технологии искусственного интеллекта – эффективный инструмент для повышения уровня диагностики в медицине»
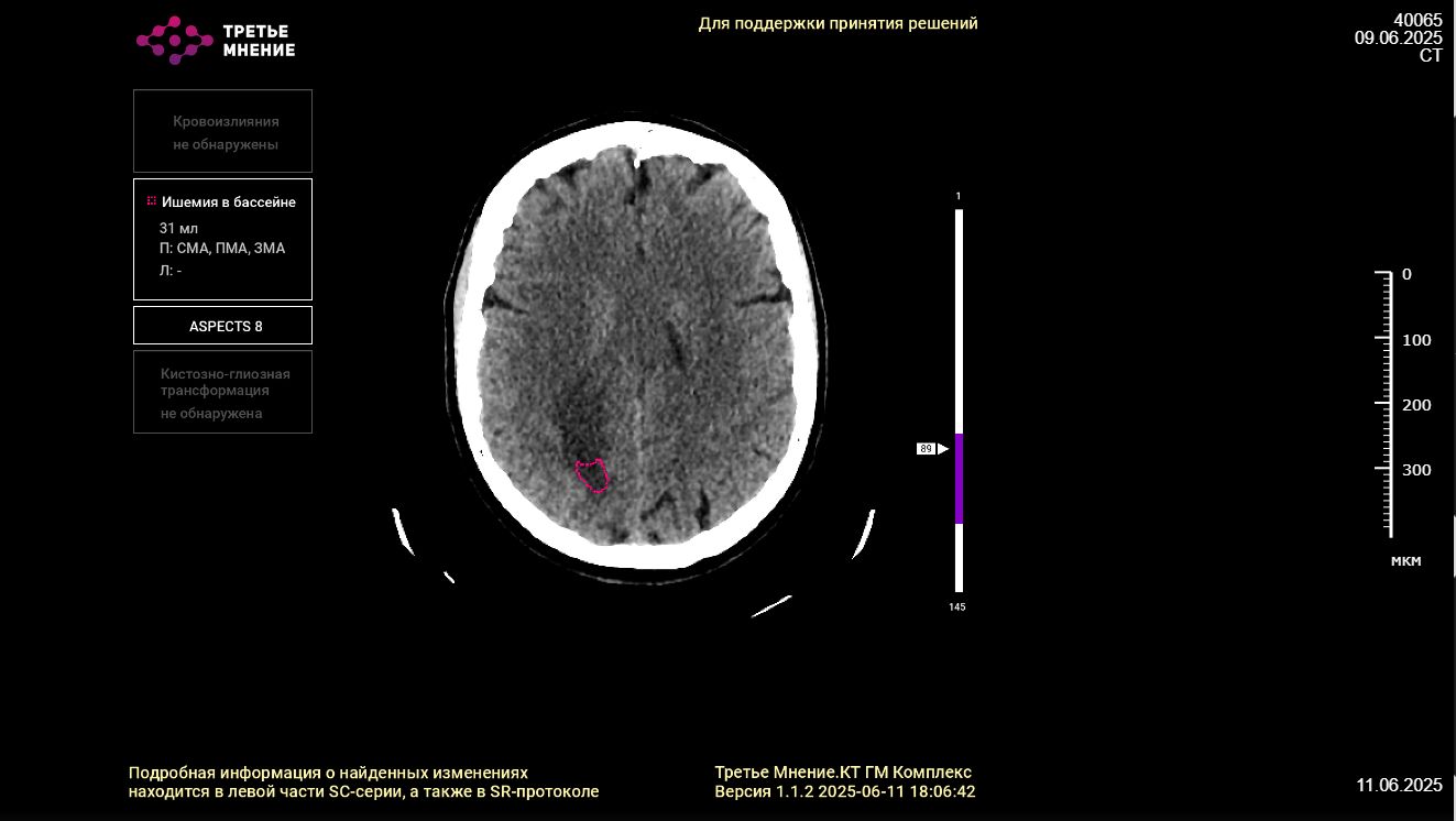
Более 300 единиц техники различных учреждений здравоохранения Нижегородской области уже подключено к работе со специальной платформой для использования искусственного интеллекта. Как сообщили в министерстве здравоохранения региона, такие технологии на протяжении полугода используют при анализе медицинских изображений. Речь идет о снимках, выполненных в ходе компьютерной томографии (КТ), магнитно-резонансной томографии (МРТ), маммографии, флюорографии, а также рентгенодиагностики.
По данным регионального Минздрава, с помощью ИИ можно проанализировать результаты исследований, проведенных на цифровом оборудовании.
«Технологии искусственного интеллекта – это, действительно, эффективный инструмент для повышения уровня диагностики в медицине. Сейчас на обработку одного изображения у программы уходит менее пяти минут. Сервис позволяет не только сформулировать основной диагноз, но и дополнительно выявить малейшие отклонения в состоянии здоровья человека, которые пока могут быть не видны даже опытному специалисту. Важно понимать, что технологии не заменяют доктора, а помогают ему. Окончательное решение относительно постановки диагноза и назначения лечения всегда принимает именно врач», – отметила министр здравоохранения Нижегородской области Галина Михайлова.
По ее словам, в настоящее время на анализ искусственному интеллекту можно направить исследования органов грудной полости, молочных желез и мозга. Таким образом в нижегородских больницах еженедельно перепроверяют более пяти тысяч снимков. Работу координирует специальное подразделение министерства – Медицинский информационно-аналитический центр.
«Искусственный интеллект ищет заданные врачом патологии и проверяет снимок на другие потенциальные заболевания. Так, например, анализируя КТ-снимок пациента с переломом ребер, ИИ параллельно ищет признаки онкологии и пневмонии. Свои находки программа транслирует врачу в формате не только текста, но и рисунка – выделяет очаги фиолетовыми кружками на снимках. Далее специалист либо соглашается с ИИ, либо нет. В среднем процент согласия на текущий момент составляет около 80 процентов», – объяснила директор Медицинского информационно-аналитического центра областного Минздрава Татьяна Антохова.
Одним из медицинских учреждений, которые активнее всего используют «электронное мнение» в работе, является Павловская ЦРБ. За прошедшие полгода искусственный интеллект обработал уже почти 1200 исследований, выполненных в больнице.
«Наши врачи-рентгенологи не пренебрегают применением искусственного интеллекта при анализе снимков, так как это помогает им идентифицировать небольшие находки, характерные для самых начальных стадий заболеваний, а также спорные находки, затруднительные для диагностики. Например, совсем недавно врач анализировал маммографический снимок молодой женщины, предположительным диагнозом была фиброзная мастопатия. Искусственный интеллект, в свою очередь, заподозрил злокачественное новообразование. Тогда врач принял решение назначить пациентке дополнительное УЗИ-исследование и биопсию. В результате диагноз «онкология» подтвердился, и пациентка была незамедлительно направлена на лечение», – рассказал главный врач Павловской ЦРБ Александр Маслагин.
С июня 2025 года в Нижегородской области искусственный интеллект начали активно подключать и к анализу электронных историй болезней. По мнению заместителя директора МИАЦ по цифровому развитию Николая Кочетова, это крайне перспективное направления для развития медицины.
«Программа сравнивает изменение показателей лабораторных и инструментальных исследований, выполненных пациенту, в динамике за несколько лет, выдавая прогноз и риски для больного. Это позволяет врачам корректировать тактику лечения. Например, ИИ проверяет биохимию крови пациента, которую он сдавал в разные периоды с 2022-го по 2025 год. Отметив вариацию показателей и сравнив их с проводимым в тот момент лечением, ИИ подсказывает врачу самые эффективные для больного фармакологические препараты. Или же указывает на потребность в хирургическом лечении, если терапия не особенно эффективна», – разъяснил Николай Кочетов.
В Медицинском информационно-аналитическом центре добавили, что машинный анализ электронных историй болезней также позволяет выявлять отклонения в протоколах лечения. Кроме того, современные технологии используются для обнаружения скрытых рисков: врач может учесть их при проведении диспансеризации.
В министерстве здравоохранения Нижегородской области подчеркнули, что внедрение технологий искусственного интеллекта в работу государственных медицинских учреждений – важный шаг для повышения уровня качества оказания помощи людям. Это одна из основных задач нового национального проекта «Продолжительная и активная жизнь», который реализуется в стране по поручению президента России Владимира Путина.
Национальный проект «Продолжительная и активная жизнь» является продолжением национального проекта «Здравоохранение». Он направлен на ожидаемое увеличение продолжительности жизни к 2030 году и предполагает дальнейшее обновление поликлиник, амбулаторий, фельдшерско-акушерских пунктов, привлечение в медучреждения все большего числа квалифицированных медицинских кадров, применение новых подходов в профилактике, диагностике и лечении хронических заболеваний, улучшение экстренной медицинской помощи и системы реабилитации, развитие сети национальных исследовательских центров, цифровизацию отрасли.
Новый нацпроект включает 11 федеральных проектов: «Здоровье для каждого», «Модернизация первичного звена здравоохранения», «Медицинские кадры», «Борьба с сердечно-сосудистыми заболеваниями», «Борьба с онкологическими заболеваниями», «Борьба с сахарным диабетом», «Борьба с гепатитом и минимизация рисков распространения заболевания», «Совершенствование экстренной медпомощи», «Развитие федеральных медицинских организаций, включая развитие сети национальных исследовательских центров», «Национальная платформа «Здоровье», «Оптимальная для восстановления здоровья медицинская реабилитация».
Пресс-служба губернатора
и правительства Нижегородской области
Фото: министерство здравоохранения Нижегородской области

